Gum Recontouring in Islamabad

Do you not feel confident whenever you go out due to your gummy smile? You don’t need to worry. We are presenting a promising solution: Gum Contouring in Islamabad, which will provide you with aligned teeth and gums. Get ready to transform your gum line for a confident smile! 

Concise Details!

  • Cost

15,000 PKR to 60,000 PKR.

  • Procedure Type:

Surgical 

  • Anesthesia:

Local | General

  • Results

It lasts for a long time. 

  • Recovery: 

Requires at least 1 or 2 weeks.

  • Safety:

FDA-Approved. 

  • Procedure Time: 1 – 2 hours 

Gum Recontouring | Gums in Harmony, Smile in Sync! 

Gum recontouring is an advanced approach that is designed to recontour the gum line to restore the balance of the gums. It is carried out by removing the excessive tissues that assist in achieving a balanced appearance. The approach also contributes to transforming the gummy smile by structuring the symmetry of the gums.

What to expect? Results!

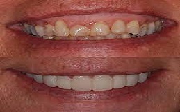
Gum Contouring gives instantaneous outcomes, restoring the alignment of gums and teeth. It also helps you achieve a gummy smile. The visible improvement in the gum lines will be seen within a week. The swelling and redness began to subside within a few days. 

Gum RecontouringGum Recontouring in IslamabadGum Recontouring cost in IslamabadGum Recontouring before afterGum Recontouring before after resultsBest Gum Recontouring

Benefits of Gum Recontouring: 

Various benefits can be attained through undergoing the approach, which are as follows;

  • Even the gum line. 
  • Enduring outcomes. 
  • Correction of a gummy smile. 
  • Aligning the gums & teeth. 
  • Enhancing the aesthetics. 
  • Rapid recovery.
  • Elevates the smile.

Reasons to Get the Gum Recontouring:

Various reasons arise for the need for gum contouring, which are as follows;

  • Intending to elevate the smile.
  • Looking for a solution to restore the symmetry of gums.
  • Struggling with a sticky grin. 
  • Having an uneven gum line. 

Prior Consultation:

If you intend to go for the gum contouring technique, then you need to consult our professionals for a detailed discussion. A set of instructions is to be followed after undergoing the approach, which are as follows; 

  • Make sure to clean your mouth before going for the procedure.
  • Drink plenty of water to stay hydrated. 
  • Abstain from smoking & alcoholic consumption. 

Gum Recontouring | How is it Done? 

The procedure is carried out in various steps, which are as follows; 

Step 1: Consultation

Before undergoing the approach, you need to arrange an initial consultation with our expert to discuss the treatment concern in detail. In a consultation session, our expert will examine the case thoroughly to devise a customized plan.

Step 2: Anesthetization

The professional will administer local anesthesia to the patient to minimize the pain. 

 

Step 3: Making an Incision 

After administering anesthesia, an incision will be made into the treated site. 

Step 4: Removing Excessive Tissues

The professional will utilize the laser or other hand-held tools for removing the excess tissue carefully to achieve a balanced gum line.

Step 5: Sculpting

The professional may sculpt the tissue to ensure achieving a smooth and natural-looking shape.

Step 6: Closing Sutures 

After balancing the gum line, the professional will close the sutures.

Instructions to Follow After the Treatment:

Various instructions are to be followed after undergoing the procedure, which are as follows;

  • Make sure to get enough rest.
  • Abstain from indulging yourself in strenuous physical activity.
  • Make sure to take the recommended pain relievers.
  • Use ice packs to minimize swelling.
  • Make sure to eat soft foods only till the time you completely heal.
  • Try to maintain oral hygiene. 
  • Use mouthwash regularly. 
  • Quit smoking and alcohol.
  • Monitor the healing period closely to avoid any sort of complications.

Cost of Gum Recontouring in Islamabad:

The gum recontouring cost in Islamabad ranges between 15,000 PKR to 60,000 PKR. The price mentioned above is not fixed and often varies based on the various factors, including complications of the case. The final cost will be evaluated once an initial consultation is held. 

Cost Plan Breakdown: 

The breakdown of the cost plan based on the type of approaches is given below; 

Type of treatment  Cost of approaches 
Laser Gum Contouring 15,000 PKR to 30,000 PKR 
Surgical Gum Contouring 15,000 PKR to 30,000 PKR 
Full Mouth Gum Reshaping 45,000 PKR to 60,000 PKR 

Cost Impacting Factors: 

Various factors are responsible for the variation in the outlay of the procedure, which are as follows;

Number of sessions  Additional approach 
Type of approach Desired concerns 
Extent of reshaping  Technologies used 

Book Us For Sculpted Gums! 

Are you ready to enter into a world where art meets dentistry to achieve sculpted gums? If yes, then don’t waste more time & book an appointment at Dynamic Clinic PK for undergoing the Gum Recontouring in Islamabad-Rawalpindi & Pakistan. 

FAQ’s

No, there are no side effects except swelling, redness & discomfort, which subsides within days.
The gum recontouring begins from 60,000 PKR.
You will need to wait for at least one week to eat hard foods.
You need to visit the professional immediately in case of severe pain or bleeding.