
Why choose Dynamic Clinic Pk?
- Affordable: Fixed pricing with one-time payment or 0% monthly payments.
- Convenient 3D Smile. Preview and treatment are remotely monitored via a mobile app.
- 3D technique: We provide precise 3D technology and medical-grade invisible braces.
- Experienced dentist: A certified, licensed telehealth platform ensures protected data.
Do you wish you could straighten your teeth without the trouble of metal braces?
Now you can! Invisible braces in Islamabad are a discreet, pleasant, and effective approach to attaining the ideal smile—without anybody noticing. Whether you choose transparent aligners or concealed lingual braces, these sophisticated treatments will gently push your teeth into position while allowing you to eat, speak, and smile confidently.
No wires, no restrictions—just seamless orthodontic treatment that fits your lifestyle. Say goodbye to cumbersome braces and welcome to a perfect, camera-ready grin. Are you ready to alter your teeth the invisible way? Your dream smile is only a step away!
Key points:
- Invisible type of dental braces.
- Performed in 2 sessions.
- The duration of the brace’s placement is 15 to 30 months.
- Suitable for children and adults.
- It may require anesthesia during the placement.
- Liquid diet for the initial few months.
- No major side effects or complications.
All you need to Know About Invisible Braces| Straighten Your Smile, Invisibly:
Invisible braces are used to straighten the teeth with some material placed on your teeth. Braces are a traditional procedure that is performed to solve different issues of teeth including overcrowded, misaligned, widely spaced, and crooked teeth.
It is used to correct the below conditions of the teeth:
- Overbite teeth.
- Crooked teeth.
- Crowded teeth.
Types:
There are a few types of braces, one of the popular and most demanding types is Invisible Braces. This type, includes ceramic brackets, lingual braces, and clear aligners that appear as invisible or less noticeable.
Clear aligners (removable and transparent) |
|
Lingual Braces (Hidden Behind Teeth) |
|
Ceramic Braces (tooth-colored brackets and wires): |
|
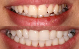
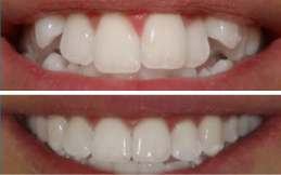
The Results & Success Rate| How long do the results last?
After getting invisible braces, these will be applied for 15 to 30 months as some people obtained desired results within 10 to 15 months and some of them get 20 to 30 months due to severe misalignment. After removing the braces, you may need to wear retainers for a few months for an accurate position.

The candidate will get satisfying, effective, and long-lasting results as it is the best type of braces that will not disappoint you. However, it is necessary to choose an expert orthodontist from a reputable clinic who performed your treatment perfectly and you should take good care of your teeth even during and after the removal of braces.
Result timeline:
- Invisalign requires: 12-20 months.
- Clearpath requires: 3-48months.
- Clear correct requires: 10-48 months.

Top Benefits| Braces That Fit Your Life, Not the Other Way Around:
People who choose invisible braces for different teeth issues, obtain a lot of benefits after selecting this effective treatment. Some common benefits are listed below:
- You can freely smile as nobody can judge your invisible braces.
- It is the safest, most effective, and most amazing braces type.
- The overbiting, misaligned, and space between teeth will improve.
- The slight pressure can change the overall appearance.
- No major complications or side effects.
- It will improve your oral health and chewing problems.
- Self-confidence and self-esteem will be boosted.
Who is the perfect candidate?
Below are the candidates:
- People with crossbite issues.
- Anyone who has spaces between their teeth.
- Candidate with the overcrowded teeth problem.
- A person who has realistic expectations.
Note: It is not suitable for complicated cases of misaligned teeth or biting issues.
Preparation:
Before the procedure, the dental practitioner will ask about your expectations and cost ranges. Moreover, the practitioner will prescribe you a few precautions that are necessary to follow before getting braces. These are:
- Do not take blood thinners.
- Avoid smoking or drinking alcohol.
- Make your habit of brushing your teeth twice a day.
- If your tooth has a cavity, treat it first.
- Be prepared for the treatment.
Steps of the procedure:
The placement of braces takes two sessions with your orthodontist. The details about these two sessions are mentioned below:
First session: | |
|---|---|
Preparation: | The orthodontist will take a digital scan of the teeth to examine the position of the current teeth. Then they send the scan report to the dental lab where the invisible braces materials will be prepared according to customized |
Assessment | This process will take 4 to 6 weeks for manufacturing and the client will be called up for the placement. If a candidate has over-crowded issues, then it may require extraction for the adjustment of other teeth. |
Second Session | |
|---|---|
Appointment | After 4 to 6 weeks when the material of customized braces is ready, the candidate will be appointed. |
Cleaning: | Before the placement, the orthodontist will clean your teeth deeply. |
Placement of the braces | Start the process of placing brackets, wires, and rubber bands behind the teeth. The total duration of the procedure will be 1 hour or it depends on the performance. |
Aftercare Instructions:
After the procedure, you may not speak or eat properly as these types of braces are placed behind your teeth which might be a little uncomfortable in a few starting days. That is why the orthodontist will prescribe your aftercare instructions for better experience and prevention of complications. However, the care tips are mentioned below:
- Brush your teeth twice a day.
- Clean your teeth properly as any little particle can affect them.
- It may take time to adjust, and be tolerant to the pain.
- Use prescribed mouthwash.
- Better to visit your orthodontist for regular checkups.
- Follow the prescribed diet plan.
- Stop taking blood thinners.
- Avoid smoking tobacco or drinking alcohol.
Invisible Braces Cost:
The average cost of Invisible Braces in Islamabad Pakistan might be the same or higher than other dental braces, the estimated cost range is to 200,000 PKR to 290,000 PKR.
Maximum cost | Minimum cost |
200,000 PKR | 290,000 PKR. |
Factors Affecting the Cost:
Somehow, there are a few factors that can affect the cost of the treatment other than the estimated price. Common factors are mentioned below:
- Expert Orthodontist’s fee.
- The reputation of the clinic.
- Location of the clinic.
- Length of the braces.
- Other additional charges.
Furthermore, if you are willing to know more information related to price and its affecting factors then contact us or visit our clinic.
Recovery:
Initial Adjustment Period (First 1-2 weeks) |
|
Monthly Adaptation (Throughout the Treatment) |
|
Full Treatment Duration |
|
Transform Your Smile – The Invisible Way by booking us!
So don’t wait and book your appointment at Dynamic Clinic PK. We are here to give you a memorable experience to Align Your Teeth, Without the Metal Hassle with the invisible braces in Islamabad, Rawalpindi, and Pakistan.









