
Reclaiming and Rediscover Your Smile:
Gum Bleeding Treatment in Islamabad will restore your smile to its former radiance so don’t be frightened. A captivating smile is an outward expression of inner satisfaction and assurance. However, if gum bleeding starts to occur frequently, that beautiful smile can suffer. It can be a sign of more significant oral health problems like gingivitis and periodontitis. These call for a professional evaluation and treatment. The underlying issue must be resolved to prevent more issues. If your gingival tissues are bleeding constantly, get dental care right away. To know further, keep reading.
Understanding the Issue:
Prior to considering the solutions, it is essential to understand the causes of gingival bleeding. The most common disease, especially the milder variety known as gingivitis. Plaque and tartar buildup along the oral tissueline can cause irritated gingival tissue and bleeding. If left untreated, periodontitis, a more serious condition in which the oral tissues recede, form pockets around the teeth, and ultimately lead to tooth loss, may develop. Other factors like bad dental hygiene, hormonal changes, cigarette use, and other medical conditions can also contribute to gingival tissue bleeding, as can other factors like hormonal changes.
What is the Importance of Healthy Gums in Life?
Sustaining healthy gingival tissues is essential for sustaining dental and general health. They protect the integrity of the tooth, halt oral tissue disease, and support the retention of dental restorations.
Additionally, having healthy oral tissues encourages breath freshening, an attractive smile, and more comfortable speaking and chewing. Maintaining good gum health is linked to better overall health, as gingival tissue disease has been linked to various systemic disorders.
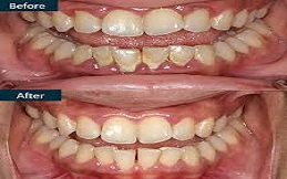
Gum Bleeding Treatments in Islamabad:
You must immediately see a dentist if your oral tissues are bleeding. The underlying reasons of gingival bleeding can be treated using a variety of methods. Some of them include the following therapeutic options:
● Medications:
Dentists may suggest topical gels, medications, or mouthwashes with antibacterial properties to help treat gingival tissue infections.
● Better Oral Hygiene:
To maintain proper oral hygiene, dentists will give advice on the best ways to brush and floss teeth.
● Changes in Lifestyle:
If smoking or other tobacco products are making your oral tissues bleed, you should quit.
● Professional dental cleaning:
Prophylaxis, another word for dental cleaning, is the removal of plaque and tartar from the teeth and gum line. This process aids in the management and prevention of gingivitis.
● Scaling and root planing:
Scaling and root planing is a non-surgical method to clean the root surfaces and get rid of germs from the oral tissue pockets for more severe gingival tissue disease (periodontitis).
● Periodontal Surgery:
Surgery may be required in cases of severe periodontitis to reduce pocket depths and restore the health of the oral tissues.
How to prevent Periodontal tissues Bleeding?
Prevention is always preferable to treatment. Follow the following guidelines to maintain healthy gingival tissues and stop gingival bleeding:
- You may clean the gaps between your teeth of plaque and food particles by flossing every day.
- Regularly brush your teeth, preferably twice daily.
- For frequent cleanings and examinations, visit the dentist.
- Limit sugary snacks and maintain a balanced diet with an emphasis on fruits and vegetables.
- Avoid using cigarettes and smoking.
Here Are Some Common Symptoms:
For gingival bleeding therapy, you should schedule a dental examination if you have any of the following symptoms:
- Long-lasting foul breath.
- Shifting or loose teeth.
- The sensation of cold or heat.
- Gum bleeding while flossing or brushing.
- Reddened or inflamed oral tissues.
- Diminished gum line.
Causes that Lead to Gingival Bleeding:
Gingival hemorrhage may be caused by several factors. Among the most frequent causes are:
- Poor Oral Hygiene:
If brushing and flossing are not done correctly, plaque can accumulate and turn into tartar. tartar-induced inflammation causes bleeding from the gingival tissues.
- Periodontitis:
Gingivitis can develop into periodontitis, a more dangerous type of oral tissue disease, if it is not treated. Gum recession brought on by periodontitis results in pockets forming between the teeth and gingival tissues, which may cause tooth loss and further bleeding.
- Gingivitis:
This is the initial stage of gingival tissue disease and is brought on by the buildup of plaque and tartar along the gum line. The oral tissues bleed and feel sore when they are inflamed.
- Some Medical Conditions:
Numerous diseases, such as diabetes, blood disorders, and leukemia, can make oral tissue bleeding worse.
- Changes in Hormonal Balance:
Gingival tissues may become more sensitive and prone to bleeding during menopause or during hormonal changes during pregnancy.
- Smoking and Tobacco Use:
Tobacco-containing products reduce the blood flow to the oral tissues, increasing their sensitivity to bleeding.
Cost of the Treatment:
The cost of gum bleeding treatment in Islamabad varies based on a number of variables, including the severity of the condition, the kind of care required, and the clinic’s standing.
To obtain an accurate cost estimate for gingival bleeding therapy in Islamabad, it is best to schedule a consultation with a qualified dentist or periodontist. You can receive a detailed cost estimate and a tailored procedure plan based on your needs and circumstances.
Why Choose Us?
- Dentists skilled in treating oral tissue disease who have a strong commitment to patient care.
- For improved results, use modern dental techniques and technology.
- Successful therapies for treating gingival bleeding in the past.
- Patient-centered care is tailored to your unique needs and preferences.
- Quality commitment yields a grin you can be proud of.






Rediscover Your Confident Smile with us:
Enjoy a life free from gingival bleeding issues with the aid of our top-notch oral tissue bleeding therapy. Our talented dentists, state-of-the-art tools, and customized procedure plans ensure that you get the best dental care imaginable in this attractive city.
Bleeding oral tissue won’t stop you from beaming with confidence. At Dynamic Clinic Islamabad, we provide one of the best gum bleeding treatments in Islamabad, which will improve your oral health and give you a sense of pride.
Come see the change for yourself and say hello to a happier, more secure grin by visiting us right away!
To schedule a consultation right away, complete the form below!









