
A dazzling smile leaves no room for dissatisfaction. The expression of an individual matters and a twinkling smile enhances the grace and glamour of an individual’s personality. The secret of a bright smile is white and bright teeth. To maintain the mystique and fascination of the smile, it is essential to keep the brightness of the teeth. Teeth whitening strips in Islamabad remove stains and discoloration of the teeth and enhance the appearance and brightness of the teeth.
Dynamic Clinic Islamabad resolves all your teeth-related problems and reinstates natural-looking and radiant results. If your teeth are succumbing to growing age and lifestyle practices, then teeth whitening strips at our clinic are one of the best solutions to eliminate the effects of growing age and get back the original shine and brightness of the teeth.
Teeth Whitening Strips: Overview
A genuine smile accentuates the individuality of a person and expresses the openness, values and nature of a person. The genetic factors, the use of tobacco and dark sodas, trauma or injury to the teeth, and the use of certain medications reduce the exoticism of teeth and cause stains. The teeth whitening strip in Islamabad is a noninvasive procedure that is carried out to address discoloration and stains and restore a brighter smile.
When you are concerned about the appearance and brightness of your teeth or want to get back the brightness of your teeth, then you are advised to use these teeth whitening strips because they are purposely designed to eliminate stains and discoloration of the teeth and improve the appearance of the teeth. These strips contain teeth-whitening agents such as hydrogen peroxide that whiten the teeth.
Benefits Of Teeth Whitening Strips in Islamabad:
- This treatment allows you to restore your brighter and more attractive smile
- Removes stains and discoloration from the teeth and offers a brighter appearance
- By eliminating the discoloration of the teeth, it produces a youthful appearance
- This is a non-invasive dental procedure that doesn’t require any incision
- Offers immediate results and restores the glamour of the teeth
- Allows people to treat their specific concerns
- This is a cost-effective and feasible whitening procedure
- It boosts confidence and increases the self-esteem of an individual
Are Whitening Strips OK for My Teeth?
Basically, this is a noninvasive procedure that doesn’t cause any significant harm or side effects. If you are going to try teeth whitening strips in Islamabad, then you must consult it with a dentist. Furthermore, you must ensure the optimal health of your teeth before getting this treatment because if you are dealing with any dental issue, you may not get your desired results. So, if your dental health is optimal, then you can get this treatment to enhance the brightness of your teeth.
Am I A Suitable Candidate For Teeth Whitening Strips In Islamabad?
Whether it is an extensive or minor treatment, you must evaluate your suitability before getting a treatment to limit the risks of complications and get optimal results. Do not forget to get a consultation session at Dynamic Clinic Islamabad to find out whether you are a suitable candidate. You can also consider the following points to make a rough idea about your suitability for this treatment.
- If your dental health is optimal and you are not dealing with any dental issue
- If you are not observing gum disease, tooth sensitivity and cavities
- If you are old enough to get this treatment because toddlers or children cannot get this treatment
- If you have the know-how of this procedure and have realistic expectations
By considering these points, you can find out whether you are eligible to brighten your teeth through this treatment. This is a basic eligibility criterion and you can go for the treatment if you fulfill this.
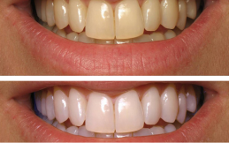
Results: Before And After
Dynamic Clinic Islamabad always offers satisfactory results because its objective is to earn the confidence and trust of its patients. Here, you can see a few of our successful results. The change that our practitioners have brought is clearly visible. Further, you can also observe the change in facial features, especially in the smiles of our patients, because this treatment rejuvenates the aesthetics of the smile.





How Much Do Teeth Whitening Strips Cost In Islamabad?
The cost of this treatment generally remains somewhere between PKR 12,000 to PKR 35,000. Given the benefits and change that this procedure brings, this treatment is deemed a feasible and cost-effective teeth whitening treatment. The cost of this treatment may alter because of a few factors, such as the number of sessions, the clinic’s location, aftercare treatments, and the expertise of a practitioner.
Are These Strips Effective?
Yes, the use of teeth whitening strips in Islamabad is considered highly effective and beneficial. This treatment removes stains, addresses discoloration, adds brightness and brings visible results. Additionally, these strips do not cause any harm and produce immediate results. If you are to get this non-invasive procedure, then you should consult with a professional.
Side Effects:
- Tooth Sensitivity
- Gum Irritation
- White Spots
- Allergic Reaction
- Uneven Results
First of all, it is better to get a consultation session before the treatment and secondly, you should choose an experienced person for your treatment because an experienced dentist will reduce the risks of side effects and help you achieve the best possible results.
Aftercare Treatments:
When you get a treatment, you must follow some procedures or instructions to get optimal results or increase the longevity of attained results.
- Brush your teeth twice a day to maintain oral hygiene and prevent stain build-up
- Rinse your mouth after eating to remove any food residue
- Prefer using a straw while drinking stain-causing beverages
- Keep visiting your dentist for regular check-ups
- If you observe any issues, inform your dentist for proper treatment
- Refrain from using acidic foods to protect tooth enamel
Summing Up:
A bright smile exhibits the grace of an individual’s personality. The aging factor and lifestyle choices reduce the brightness of the teeth and lead to discoloration. Teeth whitening strips in Islamabad address these issues. The use of these strips not only removes stains and discoloration of the teeth but also augments the brightness and shine of the teeth. It is better to consult with an expert before getting this treatment because a dentist may help you choose best practices and guide you about treatment procedures to get optimal results.
Schedule your appointment at Dynamic Clinic Islamabad to improve the grace and glamour of your personality. We offer the best services because we prioritize the concerns and demands of our patients. Visit our clinic, get a consultation session and make an informed decision.











